Войти
Головна
Моніторінг сайтів
Порівняння текстів
QR Code геніратор
Дозвілля
Блоги
Аудіо Архів
Відео Архів
Статті Архів
ТВ Онлайн
Радіо Онлайн
Завантажити
Документація
Фото архів
Новини
33+
Для рекламодавців
Контакти
Відгуки
11045
Просмотров
6 лет назад
Опубликовано
Neil Hansen
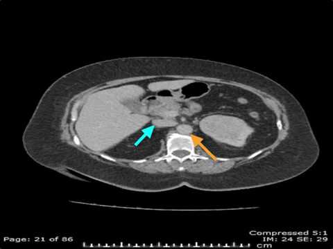
How to read a Renal Mass CT
Похожее видео
Clinical Case: Renal Cell Carcinoma 2 хвилини і 43 секунди
Станції КТ черевних лімфатичних…
The Importance of MRI in Imaging Renal Masses 5…
Анатомія КТ: Черевна порожнина 15 хвилин
How to read a pancreas CT 9 хвилин і 50 секунд
How to read an adrenal protocol CT scan - adrenal washout 3…
Normal Renal Anatomy 5 хвилин і 49 секунд
Опанування КТ черевної…
CT and MRI of renal masses 29 хвилин
How to Read a CT Abdomen & Pelvis like a Radiologist:…
How to read Rectal Cancer MRI 14 хвилин і 16 секунд
Інтерпретація КТ черевної…
Популярное
сильвания фэмили реклама
Красная гадюка 2
Universal 1997 remake
Not scary universal g major 4
сваты все серии
poterianij snaiper 4 seria
Потеринний снайпер 5
бен 10 реклама
Даша
Overgrowth ragdoll euphoria
Чужой район
Thiruttu payale amala paul
Бурное,безрассуудствоо
Городскои снаипер 8
ВАЗА И МПЕРАТОРА
sewing cozy
Красная гадюка5
Темное наследие
Лальки развивалки
Beast rogue lion
Disney effects
Красная гадюка 4часть
xxxxxx
Новини